Radiología
En Odontología Intersalud contamos con un área de Radiología Dental equipada con tecnología digital de última generación, que permite obtener imágenes de alta definición con una exposición mínima a la radiación.
Gracias a este sistema, nuestros profesionales pueden visualizar con precisión estructuras óseas, raíces dentarias y tejidos de soporte, optimizando el diagnóstico y la planificación de cada tratamiento.
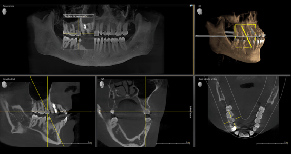
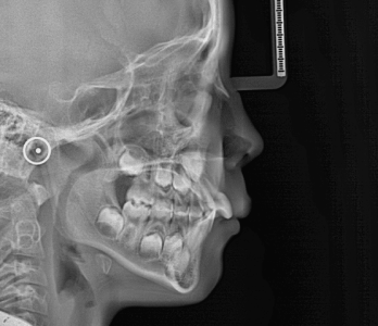
Nuestro servicio de radiología incluye estudios panorámicos, periapicales y cefalométricos, que brindan información detallada sobre la posición de los dientes, maxilares y articulaciones temporomandibulares.
Cada imagen es evaluada por especialistas que garantizan resultados confiables, rápidos y seguros.
En Odontología Intersalud trabajamos bajo estrictos protocolos de bioseguridad y control de calidad, ofreciendo a nuestros pacientes una experiencia cómoda, eficiente y con el respaldo de un equipo comprometido con la excelencia en salud oral.
Conozca otras especialidades
Tipos de exámenes radiográficos
Radiografías 2D (alta resolución)
- Retroalveolar (diente o zona específica)
- Retroalveolar total
- Bitewing
- Panorámica digital
- ATM
- Teleradiografía lateral
- Teleradiografía frontal
- Mano / Carpo
Scanner / Cone Beam / Tomografía 3D
- Maxilar
- Mandíbula
- Bimaxilar
- diente o zona específica
- Cavidades paranasales
- Cráneo completo (TAC maxilofacial)
- ATM (boca abierta, cerrada o ambos)
Estudios cefalométricos
- Ricketts
- McNamara
- Steiner
- Roth Jarabak
- Bjork Jarabak
- Sassouni +
- Quirúrgico (tejidos blandos)
Objetivos del examen
- Implantes
- Endodoncia
- Patologías óseas o dentarias
- Evaluación de vía aérea
- Ortodoncia
- Terceros molares y dientes incluidos
- Traumatismos
- Periodoncia
Lorena González López
Encargada de Radiología






